Paediatric Orthopaedics Services

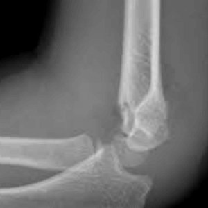
Supracondylar Fracture

Osteomyelitis

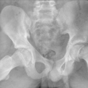
Developmental Dysplasia of the Hip (DDH)

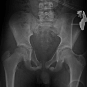
Slipped Capital Femoral Epiphysis (SCFE)

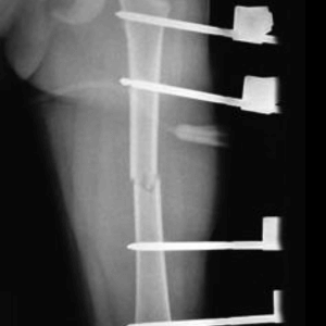
Femoral Shaft Fractures

Clubfoot (congenital talipes equinovarus)

Leg Length Discrepancy (LLD)

Osteogenesis Imperfecta

Achondroplasia

Medial Epicondylar Fractures

Osteopetrosis

