Paediatric Neurosurgery Services

Hydrocephalus

Myelomeningocele

Frontonasal Encephalocele

Occipital Encephalocele

Lipomyelomeningocele

Craniosynostosis

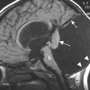
Brain Tumor

Spinal Tumor

Head Injury

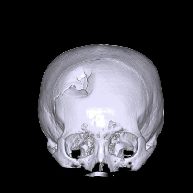
Growing Skull Fracture

Spine Injury

Epilepsy

MoyaMoya Diseases

Cerebral Aneurysm

Cerebral AVM

Spinal AVM

Paediatric Stroke

Traumatic ICH

Depress Skull Fracture

Scoliosis

Brain Abscess

Brain TB

Spinal TB

AAD

Headache

Neck Pain

Back Pain

PLID

Spondylolisthesis

Nerve Tumor

Nerve Injury

Fibrous Dysplasia

Carpal Tunnel Syndrome

Bell's Palsy

Spinal Metastasis

